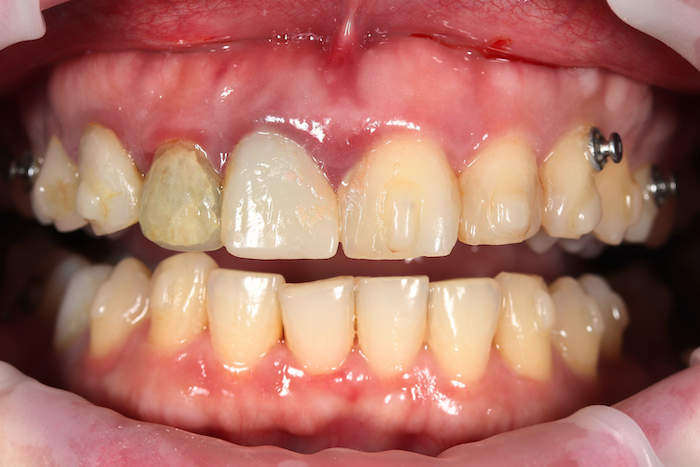
Raw原生貼片

隨著人們對牙齒美觀的重視日益提升,擁有潔白整齊的牙齒不僅能增強自信,也有助於塑造良好的第一印象,讓人在社交或職場場合中更具吸引力。在眾多牙齒美學療程中,陶瓷貼片以其自然逼真的外觀、高度耐用性及持久的美觀效果,成為許多愛美人士改善牙齒外觀的熱門選擇。

陶瓷貼片是一種超薄且高度精密的陶瓷修復材料,厚度約為 0.3 至 0.5 毫米,透過專業技術黏著在牙齒表面,用來改善牙齒的顏色、形狀與尺寸,使整體笑容更加對稱、自然且更有美感。由於陶瓷材質擁有極佳的透光性與優異的生物相容性,貼片能夠與真牙完美融合,不僅外觀逼真、幾乎難以察覺,還能提供舒適穩定的配戴感受。其耐用性高、色澤穩定,不易變色或磨損,特別適合希望長期維持牙齒美觀與自信笑容的族群。

  • 自然美觀:高品質的陶瓷貼片具有良好的透光性,能模擬自然牙齒的色澤與質感,讓笑容更自然。
  • 微創療法:相較於傳統牙冠,貼片只需磨除少量牙齒組織,保留更多的自然牙結構。
  • 耐用性高:陶瓷貼片具有良好的耐磨性和抗染色能力,正常使用下可維持多年。
  • 提升自信:改善牙齒外觀後,能增強個人自信,展現更燦爛的笑容。
  • 牙齒變色:如四環素牙、氟斑牙或其他原因導致的牙齒變色,且傳統美白方式效果不佳者。
  • 牙齒形狀異常:如過小牙、楔形缺損或牙齒形狀不佳者。
  • 輕微排列不齊:適用於輕度牙齒錯位或間隙過大的情況。
  • 牙齒磨損:因磨耗或其他原因導致的牙齒表面缺損。
陶瓷貼片治療流程

01.

初診評估:牙醫師會評估患者的牙齒狀況,了解需求,制定合適的治療計畫。

02.

術前準備:輕微修磨需修復的牙齒表面,以確保貼片能牢固黏著。

03.

取模:取得牙齒模型,送至專業牙技所製作專屬的陶瓷貼片。

04.

試戴與調整:在正式黏著前,進行試戴,確保貼片的形狀、顏色與咬合狀態皆符合預期。

05.

正式黏著:使用特殊黏著劑,將貼片固定在牙齒表面,完成治療。

醫師透過高倍率牙科顯微鏡來精準修磨牙齒表面,以確保貼片與牙齒密合,並減少對牙齒的傷害。

陶瓷貼片術後保養
  • 保持口腔衛生:三餐飯後刷牙、使用牙線,防止牙菌斑累積。
  • 避免咬硬物:雖然貼片具有良好的強度,但仍應避免咬過硬的食物,以防損壞。
  • 定期回診:每半年回診檢查,確保貼片與牙齒的狀況良好。
陶瓷貼片案例分享
BEFORE
AFTER
陶瓷貼片選擇琢白美學牙醫診所

陶瓷貼片不僅是牙齒美學的一部分,更是一門精緻的藝術,能讓你的笑容煥然一新。在琢白美學牙醫診所,我們結合專業技術與先進設備,為你打造自然、協調且符合個人特色的笑容。我們重視每一位患者的期待,用心雕琢每個細節,讓笑容不只好看,更貼近你心中的理想模樣。選擇琢白,不只是選擇專業與品質,更是給自己一份關於自信與魅力的投資。讓我們一起,讓你的笑容更加耀眼!