全瓷冠
全瓷冠是一種不含金屬成分的牙冠,整體以陶瓷材質製成,常見材質包含二矽酸鋰(lithium disilicate)與氧化鋯(zirconia)。其中,二矽酸鋰全瓷冠擁有優異的透光性與自然色澤,修復後的牙齒外觀更接近自然牙,特別適合前牙區域對美觀要求較高的修復需求。
- 美觀自然:全瓷冠的透光性和色澤接近真牙,提供自然的外觀效果。
- 生物相容性高:由於不含金屬成分,全瓷冠降低了過敏或排斥反應的風險,對牙齦健康更有利。
- 避免牙齦變色:傳統金屬牙冠可能導致牙齦邊緣出現灰黑色,而全瓷冠則不會有此問題。
- 耐用性強:全瓷冠具有良好的耐磨性和強度,在正常使用下,壽命可達至少10-15年。
- 大範圍蛀牙或牙齒損壞:當牙齒受損嚴重,無法以填補方式修復時,可考慮使用全瓷冠。
- 根管治療後的牙齒:根管治療後的牙齒較脆弱,需以牙冠保護,以防止再度損壞。
- 牙齒形狀或顏色不佳:如有先天性牙齒形狀異常或變色,可透過全瓷冠改善外觀。
- 需要美觀修復的前牙區域:全瓷冠的自然外觀特性,使其特別適合前牙的修復。
全瓷冠的製作流程
01.
初步檢查與評估:牙醫師會先進行口腔檢查,評估牙齒狀況,並與患者討論治療計畫。
02.
牙齒修型與取模:將需修復的牙齒修磨至適當形狀,然後取模,製作臨時牙冠。
03.
全瓷冠製作:牙技師根據取模資料,製作符合患者牙齒形狀和色澤的全瓷冠。
04.
試戴與調整:在正式安裝前,進行試戴,確保咬合和外觀的舒適度,必要時進行調整。
05.
正式安裝:確認無誤後,將全瓷冠固定在牙齒上,完成修復。
全瓷冠的保養與注意事項
- 保持良好口腔衛生:定期刷牙、使用牙線,防止牙菌斑和牙結石的累積。
- 避免咬硬物:雖然全瓷冠具有良好的強度,但仍應避免咬過硬的食物,以防止損壞。
- 定期回診檢查:每半年定期回診,讓牙醫師檢查全瓷冠的狀況,確保其功能正常。
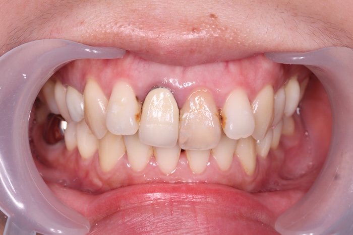
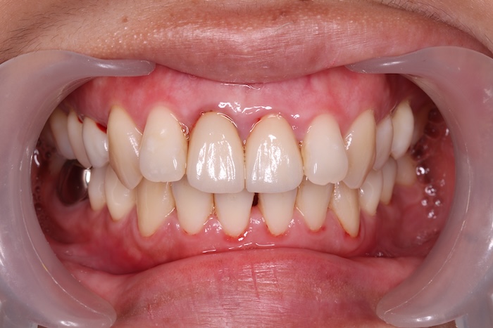
全瓷冠案例分享
全瓷冠選擇琢白美學牙醫診所
全瓷冠是一種兼具自然美感、實用功能與持久耐用性的牙齒修復選擇。不論是修復受損牙齒、強化植牙後結構,或是提升笑容的整體協調與美觀,全瓷冠都能帶來穩定且理想的治療效果。若您對全瓷冠有任何疑問,或希望進一步了解是否適合自身需求,歡迎與我們聯繫,由專業牙醫團隊為您提供個人化的建議與細緻的治療服務。