All on 4 一日全口重建

All on 4一日全口重建是一種專為大範圍缺牙患者設計的先進植牙技術,透過在單顎植入至少四顆特殊設計的人工植體,再利用斜張橋力學原理支撐並固定整排假牙,使患者能在一天之內恢復口腔功能和美觀。

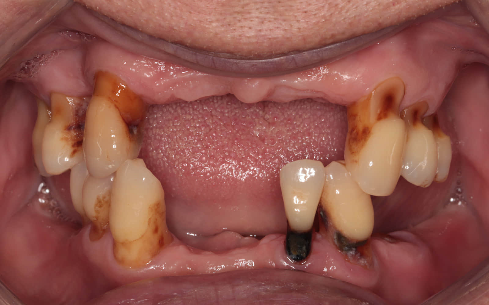
  • 多顆缺牙、全口無牙者。
  • 重度牙周病,牙齒所剩無幾、搖搖欲墜者。
  • 已有假牙,但一直感到不適或是無法解決問題者。
  • 想要縮短全口重建療程者。
多顆缺牙的患者
使用活動假牙感到不便的患者
  • 快速恢復功能與美觀:患者在手術當天即可獲得一副全新的固定式假牙。
  • 縮短療程時間:僅需四根植體即可撐起整排假牙,有效縮短手術時間並減少恢復期不適。
  • 降低補骨需求:選擇骨質較為理想部位,避免使用脆弱的齒槽骨,可節省補骨費用和手術所需時間。
  • 費用相對較低:整體費用通常比傳統全口植牙低,對於需要全口重建的人來說負擔較小。
All on 4 治療流程

01.

術前評估:拍攝全口X光和電腦斷層影像,制定專屬治療方案。

02.

資料蒐集:手術前兩週進行3D數位口腔掃描及拍攝口內外照,模擬植體和假牙位置。

03.

植牙手術:手術當天植入適合患者所需的植體顆數,全程由專業的麻醉專科醫師協助舒眠鎮靜治療。

04.

臨時假牙:手術當天下午安裝固定式臨時假牙,前兩週建議食用流質食物。

05.

正式假牙:手術後4~6個月,等待植體與骨頭密合後製作正式假牙。

06.

後續觀察與保養:每日三餐飯後及睡前需要好好刷牙,並搭配牙線或沖牙機清潔牙縫。每六個月需回診檢查植體狀況。
早上手術
下午製作假牙
All on 4 案例分享
BEFORE
AFTER
All on 4 選擇琢白美學牙醫診所

在全口重建的每個階段,專業經驗都是影響療程效果與穩定性的關鍵。琢白由資深全口重建醫師領軍的團隊負責規劃與執行,透過數位影像導航、精密植牙技術及個人化美學設計,為每位患者量身打造合適的治療方案。從術前評估、植體植入、到假牙製作與後續維護,團隊全程細心把關,讓您在舒適安心的治療過程中,穩定恢復咬合功能,重拾自然自信的笑容與良好的生活品質。