跳至主要內容
首頁
診所環境
醫師團隊
服務項目
Raw原生貼片
齒顎矯正
All on 4 一日全口重建
舒眠治療
導航植牙
全瓷冠
牙齒美白
文章專欄
案例分享
首頁
診所環境
醫師團隊
服務項目
Raw原生貼片
齒顎矯正
All on 4 一日全口重建
舒眠治療
導航植牙
全瓷冠
牙齒美白
文章專欄
案例分享
門診預約
全口重建案例
Home
»
ALL
»
全口重建案例
術前外觀照
術後外觀照
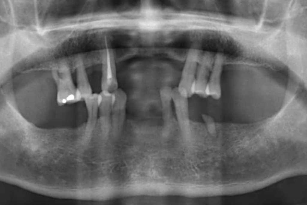
術前X光
術後X光
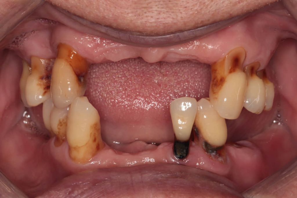
術前口內照
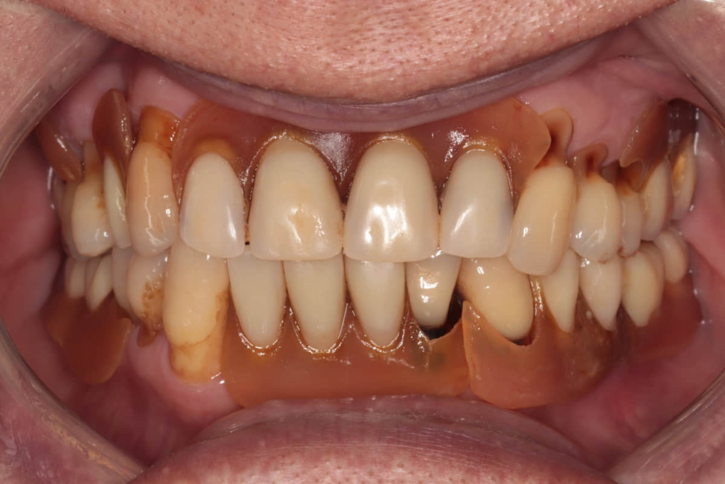
術前配戴活動假牙照
術後臨時假牙
術後臨時假牙
術後正式假牙
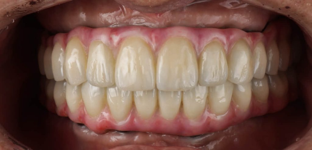
術後配戴正式假牙
術後配戴正式假牙
術後配戴正式假牙